SERVICES
✳️Chair-side custom staining.
Arranged by the dental office coordinated with the appointment for insertion of the case. The case to be stained is assumed to have an excellent fit. Minor shape alterations and addition of the contacts are possible chair-side.
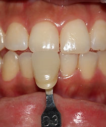
✳️Chair-side shade taking.
The initial shade of the existing dentition to be matched is taken prior to the preparation using
Vita Classical and Vita 3-D Shade guides
✳️Digital shade photography and record sharing.
The photo is taken before preparation as a tool of communication with the dental lab as well as record keeping . Another digital photo is taken after the case insertion if requested by the dentist or laboratory.
A word from your Techno- Clinical l Expert.
Dear dentists,
Do you think it's important for your practice if
1. You have more referrals from happy patients?
2. You decrease the number of additional appointments for the same case
3. You have another great service that you and your Patient is exited about
I hope you see the value of this service for your practice! If you do, let's discuss details.
Services
✳️Chair-side custom staining.
Arranged by the dental office coordinated with the appointment for insertion of the case. The case to be stained is assumed to have an excellent fit. Minor shape alterations and addition of the contacts are possible chair-side.
✳️Chair-side shade taking.
The initial shade of the existing dentition to be matched is taken prior to the preparation using
Vita Classical and Vita 3-D Shade guides
✳️Digital shade photography and record sharing.
The photo is taken before preparation as a tool of communication with the dental lab as well as record keeping . Another digital photo is taken after the case insertion if requested by the dentist or laboratory.
Anita Isaakov, RDT
Chairside shade taking



I'm a paragraph. Click here to add your own text and edit me. Let your users get to know you.
Chairside Custom Staining

